

Haber ve Duyurular

BELEDİYE HİZMETLERİNE DESTEK VEREN İSİMLERDEN YOĞUN İLGİ “İŞ BİRLİĞİMİZ DAHA GÜZEL HİZMETLERLE SÜRECEK” “KALICI ESERLER BIRAKMAK İ
Haber tarihi: 25/01/2024

SAĞLIK HİZMETLERİ KONUSUNDA VATANDAŞI DİNLEDİ “ŞEHRİMİZİN HER İHTİYACI BİZİM SORUMLULUĞUMUZDUR” “HER BİR İHTİYACINIZI BİZE
Haber tarihi: 25/01/2024

Düzce Meslek Yüksekokulu ve Düzce Üniversitesi Meslek Yüksekokulları Koordinatörlüğü iş birliğiyle düzenlenen &ldqu
Haber tarihi: 25/01/2024

TOBB Düzce İl Kadın Girişimciler Kurulu Başkanı Gökçe Ülkü Altay, TOBB Düzce Genç Girişimciler Kurulu ve Batı Karadeniz B
Haber tarihi: 23/01/2024

300 DÖNÜM ARAZİ DÜZCE BELEDİYESİ’NİN OLDU BAŞKAN ÖZLÜ’NÜN BİR PROJESİ DAHA GERÇEĞE DÖNÜŞÜYOR D
Haber tarihi: 23/01/2024

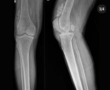
Düzce Üniversitesi Tıp Fakültesi Hastanesi Ortopedi ve Travmatoloji Kliniği’nde gerçekleştirilen operasyonda, eklem faresi olarak da
Haber tarihi: 23/01/2024

Düzce Belediye Başkanı ve Ak Parti Düzce Belediye Başkan Adayı Dr. Faruk Özlü, beraberinde Ak Parti Düzce İl Başkanı Hasan Şengülo
Haber tarihi: 23/01/2024

ŞEHRİN HER BÖLGESİNDE AYRI ÇALIŞMA YAMA-DOLGU- ASFALT SERİM ÇALIŞMALARI SÜRÜYOR Düzce Belediyesi, şehrin dört bir yanınd
Haber tarihi: 23/01/2024

Düzce Gerçek medya grubu imtiyaz sahibi ve Genel Yayın Yönetmeni Nevzat Keleş, vefat eden merhume Asiye Demir için taziye mesajı yayımla
Haber tarihi: 23/01/2024

Düzce Ticaret ve Sanayi Odası tarafından geliştirilen ve Sanayi Bakanlığı tarafından desteklenen Otomotiv Sanayi Sektörü Atılım Kümesi UR-GE
Haber tarihi: 22/01/2024

AK Parti’de uzun süredir merakla beklenen Sakarya Büyükşehir Belediyesi adayında resmi açıklamaya saatler kala baş döndüre
Haber tarihi: 18/01/2024

Düzce Üniversitesi Tıp Fakültesi Hastanesi Kardiyoloji Kliniği bünyesinde uygulanan yüksek teknolojik yöntemler ile kalp ritim boz
Haber tarihi: 17/01/2024

HAVA KALİTESİNİ İYİLEŞTİRME ÇALIŞMALARI SÜRDÜRÜLDÜ AMBALAJ VE EVSEL ATIKLARA İKİLİ TOPLAMA SİSTEMİ 3200 ÖĞRENCİYE SIFIR ATIK EĞİ
Haber tarihi: 17/01/2024

Düzce İl Tarım ve Orman Müdürlüğü Kırsal Kalkınma ve Örgütlenme Şube Müdürlüğü tarafından Kırsal Kalkınma
Haber tarihi: 17/01/2024

“KUDÜS BİZİM NEYİMİZ OLUR?” SORUSUNUN CEVABI BU SÖYLEŞİDE Düzce Belediyesi kültür ve sanat etkinliklerine devam ediyor. Pr
Haber tarihi: 16/01/2024

BELEDİYE PERSONELİNE DİKSİYON VE BEDEN DİLİ EĞİTİMİ Düzce Belediyesi, vatandaşlarla bire bir iletişim halinde olan personellerine yönelik hizmet i&cc
Haber tarihi: 16/01/2024

Düzce Üniversitesi Çocuk ve Gençlik Eğitimi Uygulama ve Araştırma Merkezi, Düzce Anadolu İmam-Hatip Lisesi’nde "Gençle
Haber tarihi: 16/01/2024 - 1 Yorum

ÇÖZÜM ODAKLI HİZMET BELEDİYECİLİĞİ YOĞUN KULLANILAN SOKAK GENİŞLETİLDİ UZLAŞI YOLUYLA HER KESİM MEMNUN EDİLDİ Düzce Belediyesi, Cumhuri
Haber tarihi: 15/01/2024

7-14 OCAK BEYAZ BASTON GÖRME ENGELLİLER GÜNÜ KUTLANDI Düzce Belediyesi, Düzce’de yaşayan görme engelli vatandaşlar iç
Haber tarihi: 15/01/2024

MUNCURLU’YA KESİNTİSİZ ULAŞIM SAĞLANACAK ULAŞIM A.Ş.’DEN KABALAK VE BAHÇEŞEHİR’E 2 YENİ HAT Düzce Belediyesi, ulaşım master planı
Haber tarihi: 15/01/2024
| BU GÜN ANNELER GÜNÜ | ![]() |
| Nevzat Keleş-İle GERÇEKLER | |
| Kitabın Ortası | ![]() |
| Saadettin Akbaş | |
| CUMHURİYET BAYRAMI | ![]() |
| Aydın KOÇ | |
| İş hayatında başarı için 10 altın kural | ![]() |
| Ayhan KURT | |
| BERAT GECESİ VE FAZİLETİ | ![]() |
| MUSTAFA DUMAN | |
Tasarım ve Programlama: Omnportal

e-mail adres
duzcegercek81@gmail
.com
